普健生物(武汉)科技有限公司 服务热线: 18162686757
 
公司首页 公司介绍 公司动态 产品展厅 证书荣誉 联系方式 在线留言
 
 
NEWS新闻资讯

AtaGenix助力揭示细胞周期依赖的乙酰化-磷酸化转变调控中心体成熟机制

发表时间:2026-04-28

中心体在G2/M期必须完成成熟,才能激活微管组织中心功能,确保双极纺锤体正确组装和染色体精准分离。PLK1是中心体成熟的关键激酶,其在中心体的时空定位直接决定成熟时机。然而,细胞周期如何调控PLK1的及时募集,此前尚不明确。近期发表于Nature Communications的一项研究,首次揭示了泛素E3连接酶RNF40通过“乙酰化-磷酸化转变”与CDK1-PLK1形成信号级联,从而实现中心体成熟的时间窗精准把控该发现不仅阐明了中心体成熟的分子开关机制,也为肿瘤染色体不稳定性和化疗增敏提供了新靶点。

RNF40与PLK1的相互作用

研究者首先通过免疫沉淀-质谱分析,在有丝分裂HEK293T细胞中筛选RNF40的相互作用蛋白,发现PLK1是显著富集的结合伙伴。内源及外源免疫共沉淀、GST pull-down实验进一步证实,RNF40的D4片段(222-628 aa)与PLK1的Polo-box结构域(PBD)直接结合。这表明RNF40可作为PLK1的潜在募集支架

新闻图片1

Figure 1. RNF40在体外和体内与PLK1相互作用

CDK1依赖的RNF40磷酸化及其对PLK1结合的调控

序列分析显示RNF40 D4片段含有两个保守的CDK1磷酸化位点(T529和T557)。细胞周期同步实验结合磷酸化特异性抗体检测表明,RNF40在G2期开始磷酸化,M期进一步增强。体外激酶实验证实CDK1/cyclin复合物可直接磷酸化GST-RNF40-D4片段,T529A/T557A双突变(2A)完全阻断磷酸化。

磷酸化直接促进RNF40与PLK1的结合,λ磷酸酶处理或CDK1抑制剂可削弱二者相互作用;2A突变体结合能力显著下降,而磷酸化模拟突变体(2E)维持强结合。由此确立了CDK1-RNF40-PLK1信号级联。至此,CDK1-RNF40-PLK1级联的磷酸化调控环节被清晰建立。

新闻图片2

Figure 2. 在G2/M期,RNF40被CDK1磷酸化,该磷酸化作用可启动其与PLK1的相互作用

RNF40对中心体成熟与微管成核的调控作用

研究证实,RNF40在整个细胞周期中均定位于中心体,其定位依赖于CEP192/PCNT支架蛋白。功能实验显示,缺失RNF40会导致中心体处PLK1的募集显著不足,进而抑制γ-tubulin的积累与微管成核能力。这种功能受损最终会引发多极纺锤体组装、染色体排布异常及有丝分裂进程延迟。上述结果表明,RNF40通过介导PLK1的准确定位,成为驱动中心体成熟的关键正向调控因子

新闻图片3

Figure 3. RNF40定位在中心体以促进PLK1的定位和中心体成熟

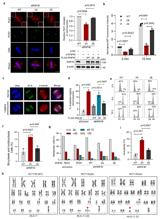
RNF40磷酸化对维持染色体稳定性的必要性

为验证磷酸化修饰的具体功能,研究者在缺失RNF40的细胞中分别回补了野生型、非磷酸化突变体(2A)及磷酸化模拟突变体(2E)。结果显示,2A突变体无法维持PLK1在中心体的定位,导致微管成核受损、染色体排列异常,并引发有丝分裂退出延迟及多核细胞增多;而2E突变体则能完全恢复这些功能缺陷。进一步分析证实,磷酸化缺失(2A)会直接导致染色体数目异常及基因组不稳定。值得注意的是,RNF40的这一调控功能完全依赖于其磷酸化状态,而非其传统的E3泛素连接酶活性。

新闻图片4

Figure 4. RNF40磷酸化促进PLK1定位、微管核化和正确的染色体分离

乙酰化-磷酸化动态转变是级联激活的时间开关

为了探究RNF40在间期是否受到某种修饰的抑制,研究者发现RNF40在间期(G1/S期)会被PCAF乙酰化,而随着细胞周期进入G2/M期,该修饰又被HDAC1移除。实验表明,RNF40的乙酰化状态与其磷酸化存在明显的拮抗关系:若抑制去乙酰化过程,则RNF40的磷酸化水平及与CDK1的结合能力将显著下降。由此证明,RNF40存在“间期乙酰化锁定,G2/M去乙酰化并磷酸化激活”的动态转变。这一修饰状态的切换充当了信号传导的时间开关,精准调控着CDK1-RNF40-PLK1信号级联的激活时机。

新闻图片5

Figure 5. PCAF对RNF40的乙酰化抑制其磷酸化

RNF40修饰异常与肿瘤发生及治疗策略的关联

通过功能验证实验,研究者证实了RNF40“乙酰化-磷酸化”转变的生物学意义:持续的乙酰化修饰(2Q)会直接导致微管成核缺陷和非整倍体增加,而通过模拟磷酸化(2Q-2E)可完全逆转这一表型,证明其缺陷本质源于磷酸化水平不足。在动物实验中,表达乙酰化模拟突变体(2Q)的肿瘤生长显著受抑,表现为肿瘤体积缩小、增殖指数降低及染色体错分离增加。临床数据进一步支持了这一发现,RNF40在结直肠癌中呈高表达态势,且与癌症分期及淋巴结转移正相关。此外,RNF40发生的特定癌相关突变会通过阻断磷酸化修饰,诱发中心体功能缺陷。

新闻图片6

Figure 6. RNF40乙酰化与磷酸化之间的串扰影响肿瘤生长
 

该研究首次将RNF40定位为中心体成熟的时间节点,揭示了翻译后修饰动态转变在细胞周期中的精确调控策略,为理解有丝分裂保真性和肿瘤发生提供了全新视角,也为开发针对中心体-纺锤体异常的抗癌策略打开了新窗口

AtaGenix技术支持

————————

AtaGenix定制开发高特异性的RNF40磷酸化抗体(pT529;pT557;acK517;acK562),助力研究团队清晰地捕捉到了RNF40修饰状态随细胞周期波动的动态轨迹,为确立CDK1-RNF40-PLK1信号级联的时间窗提供了核心证据,为后续开发靶向翻译后修饰的抗癌策略奠定了坚实的实验基础。

 

 

AtaGenix深耕翻译后修饰抗体定制领域,专注于高特异性抗体开发

已成功支持多篇高影响力细胞周期与肿瘤机制等研究

立即联系我们,定制您的专属磷酸化/乙酰化抗体

联系方式
微信扫一扫

返回顶部