客户背景
		
		
			桔梗(Platycodon 
grandiflorus)是一种广泛应用于抗炎、抗肿瘤和认知增强的药用植物,其生物活性主要来源于三萜皂苷,如桔梗皂苷D(PD)和桔梗皂苷D3(PD3)。安徽中医药大学研究团队在《International
 Journal of Molecular 
Sciences》发表的研究(DOI:10.3390/ijms26104832)鉴定出桔梗中107个UDP-糖基转移酶(UGT)基因,其中PgUGT29催化PD向PD3的糖基化反应,这是皂苷生物合成的关键步骤。该研究为药用植物活性化合物的代谢工程提供了基础。
		
		
			 
		
		
			
				 
			
			
				客户需求
			
		
		
			研究需要在大肠杆菌中异源表达并纯化PgUGT29和PgUGT72蛋白,以验证其酶活性,同时开发特异性抗体,研究蛋白相互作用并确认PD在C3位的糖基化活性,为阐明皂苷生物合成途径提供支持。
		
		
			技术挑战
		
		
			1. 蛋白表达与纯化:植物来源的UGT蛋白(如PgUGT29和PgUGT72)在大肠杆菌中常表现为低溶解性和错误折叠,需优化表达条件和重折叠策略,以实现高纯度(>95%)和功能活性。
2. 抗体特异性:开发针对PgUGT29的抗体需设计特异性表位抗原,确保高特异性和低交叉反应性,这对Western blot和免疫荧光等复杂实验的准确检测至关重要。
3. 功能验证:确保重组UGT蛋白在体外实验(如HPLC糖基化实验)中保持酶活性,并保证抗体在分子研究中精确检测目标蛋白,需要严格的质量控制和验证。
		
		
			技术服务解决方案
		
		
			普健生物为桔梗UGT研究提供定制蛋白表达和抗体开发服务:
		
		
			1. 重组PgUGT表达与纯化:
(1)
 使用IPTG诱导(1 
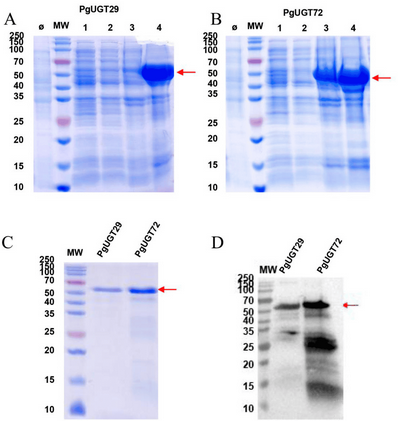
mM,37°C,4小时)在大肠杆菌BL21(DE3)中表达His标签的PgUGT29和PgUGT72,通过Ni-NTA亲和层析和尿素透析重折叠,获得纯度>95%、浓度为0.21–0.50
 mg/mL的蛋白,经SDS-PAGE和Western blot验证。
(2) 采用Bradford法量化蛋白,满足HPLC酶活性测试需求。
		
		
			2. 抗PgUGT29抗体定制与验证:
(1) 设计针对PgUGT29特异性表位(例如PSPG基序区域)的抗原,生产兔源多克隆抗体,通过Western blot和免疫荧光验证其特异性,确保在植物组织中准确检测PgUGT29。
(2) 在4–6周内交付抗体,符合项目时间要求。
		
		
			3. 功能验证支持:
(1) 提供基于HPLC的酶活性实验,确认PgUGT29以UDP-Glc为供体催化PD向PD3的转化,采用PgUGT72作为阴性对照以确保特异性。
(2) 支持分子对接研究,识别UDP-Glc结合的关键残基(如T145、D392、Q393、N396),加深对酶-底物相互作用的理解。
		
		
		
			 
		
		
			
				
					我们的蛋白表达和抗体定制服务成功实现了PgUGT29和PgUGT72的表达与纯化,HPLC验证确认PgUGT29催化PD向PD3的转化。抗PgUGT29抗体展现出高特异性,精准检测目标蛋白,支持了功能研究的顺利开展。这些成果为阐明桔梗皂苷生物合成途径提供了重要支持,推动了药用皂苷(如PD3)在药物开发中的代谢工程应用,显著提高了其潜在产量。
				
			 
			
				
					普健生物专业团队提供从蛋白设计到功能验证的全方位支持,助力您的植物生物技术和天然产物开发研究在全球产生影响!